Dental Implants Female Before and After
Patient
Age: 59 – 70
Gender: Male
Procedures: All on 4 Implants, Teeth in a Day
Location: New York, NY
Procedures
Description
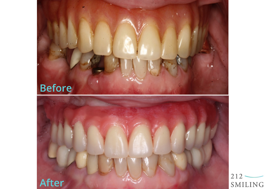
Patient had removeable upper denture but wanted to have fixed, non removable All on 4 restoration. She was restored with dental implant supported ceramic restoration.
Photos
(Click on image to view larger)
Related All on 4 Searches
212 Smiling Office Location
212 Smiling
314 West 56th Street, #105
New York, NY 10019
(212) 764-5464

