Results Photo Gallery
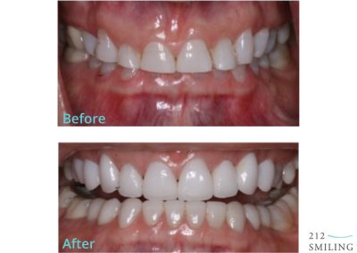
Here’s a sortable gallery of dental before and after photos for a range of procedures. If you have any questions about these procedures, please don’t hesitate to contact us.
Here’s a sortable gallery of dental before and after photos for a range of procedures. If you have any questions about these procedures, please don’t hesitate to contact us.